![]() |
| EBCT |
La Tomografía computarizada por haz de electrones (ELECTRON BEAM CT), pertenece a los tomógrafos de 5ta. Generación. Apareció a finales de la década de los 80, con una tecnología totalmente distinta a la ya conocida en generaciones anteriores.
![]() |
| SISTEMA EBCT |
Constaba de una gran fuente de electrones, que eran desviados hacia una bandeja de detectores que se encontraba en la parte superior del gantry. Su principio se basaba en utilizar energía eléctrica (haz de electrones), en vez de la mecánica (rotación del tubo y los detectores), para adquirir las imágenes, lo que implicó una notable reducción en el tiempo de adquisición.
![]() |
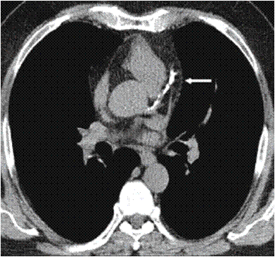
| CALCIO CORONARIO |
Tuvo aplicaciones en estudios convencionales, pero su principal utilidad se desarrollo en los primeros estudios de arterias coronarias sin medio de contraste vascular dada la velocidad de adquisición y la alta resolución temporal (50ms - 20 imágenes de 3mm aprox.), debido a que sólo usaba 210° para reconstruir una imágen.
Esta técnica fue utilizada para evaluar la cantidad de calcio en las arterias coronarias con el método de Agatston (1990).
La mayoría de ellos se comercializaron sólo en EE.UU., debido a su alta costo de producción y mantenimiento, lo que hizo que desaparecieran rápido del mercado.
- La lesión esta localizado el la arteria basilar, dando el clásico “signo de la arteria basilar hiperdensa”, visible en nuestro estudio en los cortes axiales y reconstrucciones coronal y sagital, lo cual traduce éstasis vascular por trombosis.
- El territorio comprometido esta dado por el trayecto vascular del cual depende la arteria basilar, previo a su bifurcación, incluye tronco cerebral, cerebelo y ganglios basales predominantemente, en nuestro caso además se aprecian áreas isquémicas dependiente del tálamo izquierdo.
![]() |
| IMÁGENES COMPLEMENTARIAS - AXIAL SC |
![]() |
| IMÁGENES COMPLEMENTARIAS - AXIAL SC |
![]() |
| IMÁGENES COMPLEMENTARIAS - CORONAL SC |
![]() |
| IMÁGENES COMPLEMENTARIAS - SAGITAL SC |
TROMBOSIS DE LA ARTERIA BASILAR
INTRODUCCIÓN
La arteria basilar se
encarga de irrigar casi todo el tronco del encéfalo, gran parte del cerebelo,
ambos núcleos talámicos, los lóbulos occipitales y la cara interna de los
lóbulos temporales del cerebro. En función de la porción del tronco-encéfalo
cuyo flujo se vea comprometido, la oclusión aguda de la arteria basilar puede
cursar de entrada con gran variedad de síntomas y signos neurológicos, que oscilarán
desde la afectación aislada de pares craneales a la aparición fulminante de
coma y tetraplejía. El curso clínico puede ser de instauración progresiva, de
inicio fluctuante, o bien alcanzar la máxima intensidad de forma súbita desde
un inicio. La presentación de una u otra variante dependerá de la situación
hemodinámica que se establezca tras la oclusión de la arteria basilar, y, en
este sentido, es crítica la capacidad de reclutar precozmente circulación
colateral.
La aparición de
episodios previos de ataque isquémico transitorio precediendo al episodio
principal sugiere una etiología aterotrombótica. También suele ser típico de la
etiología aterotrombótica la predilección por la unión vertebrobasilar y el
tercio proximal de la arteria basilar. Por el contrario, la oclusión del tercio
distal de la arteria basilar está causada con mayor frecuencia por émbolos de
origen cardíaco.
Los ictus isquémicos
de circulación posterior representan un 15-20% de todos los ictus isquémicos.
Además, la clínica derivada de la afectación del tronco-encéfalo es más
compleja y difícilmente reconocible que la de la circulación anterior. Por
estos y otros factores, la sospecha diagnóstica de TAB en muchas ocasiones
llega demasiado tarde, hecho que puede contribuir a la evolución catastrófica
de los pacientes.
Esto es especialmente
grave para los pacientes con TAB cuyo cuadro se inicia con coma y tetraplejía,
quienes son sedados e intubados en muchas ocasiones prehospitalariamente e
ingresados directamente en una UCI sin que ningún profesional sanitario se
plantee que, de tratarse de una TAB, la clínica puede ser reversible si se
consigue una recanalización precoz de la arteria basilar. Este subgrupo de
pacientes es, en nuestra opinión, uno de los grandes damnificados por la aplicación
estricta de los criterios de activación de los sistemas de código ictus, que
habitualmente excluyen a pacientes en coma. Dado que existen numerosos métodos
diagnósticos sencillos y no invasivos que descartan de forma fiable la TAB , es necesario sensibilizar
a los profesionales implicados en la cadena asistencial del ictus sobre la existencia
de esta entidad, sus formas de presentación y sobre el beneficio potencial de
un diagnóstico precoz que permita indicar un tratamiento de reperfusión
urgente.
EVALUACIÓN
DIAGNÓSTICA URGENTE
Una vez establecida
la sospecha clínica de TAB, la evaluación diagnóstica urgente debe incluir:
Confirmación
angiográfica de la oclusión aguda de la arteria basilar
Tanto la
angiorresonancia como la angiotomografía computarizada cerebral permiten
establecer el diagnóstico de certeza de TAB.
Evaluación de la
viabilidad del parénquima dependiente de la arteria basilar ocluida
La probabilidad de
obtener un buen pronóstico tras conseguir la recanalización de la arteria
basilar dependerá del grado del daño isquémico irreversible causado durante el
tiempo de oclusión arterial. La difusión (DWI) por RM craneal es claramente
superior a la TC
sin contraste en la evaluación de los signos precoces de isquemia en la fosa
posterior. El número y volumen de las lesiones detectadas en DWI en el
territorio dependiente de la arteria basilar en pacientes con TAB se comporta
como un predictor independiente del pronóstico funcional a largo plazo. En
nuestra opinión, la RM-DWI
sería la prueba de elección para estimar la presencia de tejido isquémico
rescatable de cara a establecer la indicación de las terapias de reperfusión en
pacientes con TAB. Sin embargo, debido a la limitada disponibilidad
espaciotemporal de la RM
para la fase ultraprecoz del ictus, que contrasta con la mayor accesibilidad de
la TC y la
angio-TC cerebral, nos parece de gran utilidad destacar algunas novedades que
han aparecido en los últimos años en relación con la capacidad de la angio-TC
de aportar información valiosa sobre la viabilidad del tejido en riesgo en fosa
posterior. Antes de entrar en materia con la angio-TC, merece la pena comentar
el signo de la arteria basilar hiperdensa que es visible en la TC simple. En los pacientes con
sospecha de ictus isquémico vertebrobasilar, la presencia del signo de la
basilar hiperdensa se asocia a la existencia de una oclusión aguda de la
arteria basilar confirmada mediante angio-TC con una especificidad (98%) y
sensibilidad (71%) elevadas.
ÁREA: NEUROLOGÍA
(Médico Radiólogo: Raúl Max Guerra Tueros)
HISTORIA CLÍNICA:
Paciente varón de 56 años, que presente de manera súbita, deterioro cognitivo, movimientos involuntarios, sudoración profusa y dificultad respiratoria. Es traído de emergencia por familiares, 3 horas después de iniciado el cuadro.
No presenta fiebre.
No reacciona a estímulos (Glasgow 9).
Hemograma normal.
Examen de electrolitos normal.
Glucosa, urea y creatinina sérica normales.
Se le solicita TEM cerebral:
![]() |
| IMÁGENES AXIALES - TEM CEREBRAL S/C |
![]() |
| IMÁGENES CORONAL Y SAGITAL - TEM CEREBRAL S/C |
PREGUNTAS:
1. DÓNDE SE ENCUENTRA LA LESIÓN?
2. QUÉ TERRITORIO PARENQUIMAL ESTARÍA COMPROMETIDO?
3. QUÉ ESTUDIO ADICIONAL SOLICITARÍA?









No veo ninguna lesion parenquimal o se masa; mas bien parece ser un problema agudo vascular...tal vez la arteria basilar. SALUDOS.
ResponderEliminaryo tambien veo un aumento de densidad en la arteria basilar ...............q zona esta comprometida .......ummmm .dificil ...ero obvio q la lesion posterior habra sido de tipo isquemica muy extensa ........... solicitaria un examen de perfusion y quiza una resonacia con protocolo base y difusion y UN MAPA DE ADC
ResponderEliminarDeberian solicitarle una angioTEM, probable lesion en arteria basilar.
ResponderEliminar